1 引言
核電站在正常運行工況下,放射性廢液中含有腐蝕產物(如Ag、Co、Cr、Mn、Fe)和裂變產物(如Cs、Sr、I),其中大部分核素以離子形態存在,可以通過目前核電站普遍采用的“過濾+離子交換”工藝加以去除;而110mAg、60Co、58Co等一些核素在堿性低濃度溶液中易于轉化為膠體形態,或者與化學去污廢液中含有的檸檬酸、草酸、EDTA及表面活性劑形成絡合狀態,常規的“過濾+離子交換”工藝對此類膠體形態放射性核素的去除效果有限,易引起110mAg等放射性核素排放量升高.亞穩態的110mAg主要由反應堆含銀密封件和Ag-In-Cd控制棒中的109Ag通過中子活化產生,具有γ放射性,其半衰期為249 d.已有許多研究發現,110mAg易在海洋生物體內積累,并存在通過食物鏈進入人體的風險.因此,對放射性廢液中膠體態110mAg的高效去除是目前在運核電站亟待解決的問題.
以國內某在運核電站放射性廢液處理系統(TEU)為例,來水主要有工藝水、化學水和地板水3部分,其中,110mAg主要來自工藝水和化學水.現有技術存在的問題體現在:工藝水經離子交換樹脂除鹽床凈化,其中,離子態核素基本被處理干凈,但膠體態110mAg因去污系數低而穿透;化學水經蒸發器凈化,由于其中含有化學去污帶來的絡合劑(如草酸、檸檬酸和EDTA)和多種表面活性劑,因此,在蒸發過程中出現發泡現象,110mAg易于被含有機物的蒸汽攜帶進入冷凝水.以上兩部分出水在TER段匯集后排放,導致排出液中110mAg份額可達到57%.
對法國電力放射性廢液中110mAg的形態分析結果表明,在冷卻劑中同時存在離子態的Ag+和膠體態的Ag0,膠體顆粒直徑為0.02~0.06 μm;此外,廢液中的絡合劑及表面活性劑容易與Ag形成一定顆粒度的大分子,增加Ag的溶解性.針對我國核電站中膠體態110mAg的形態至今還沒有深入的分析,也尚未研發針對性技術來提高110mAg的精處理性能.
因此,本文擬通過模擬核電站水化學環境,分別研究工藝水和化學水中110mAg的存在形態,以檸檬酸為例重點研究絡合劑對110mAg形態的影響,并選用一種分子篩吸附劑與兩種目前核電站常用的樹脂材料,對比研究不同形態110mAg的吸附性能,探索提高110mAg去除率的工藝途徑.
2 材料與方法
2.1 試劑
雙氧水(H2O2,AR,質量分數30%)、硝酸銀(AgNO3,AR)、檸檬酸(C6H8O7,AR)、水合肼(N2H4·H2O,AR)、硝酸(HNO3,GR),以上試劑均購自北京國藥試劑廠;去離子水(H2O)為自制.
選用的兩種樹脂分別為漂萊特樹脂NRW3560(顆粒直徑1 mm)、陶氏樹脂IRN170(顆粒直徑1 mm);分子篩13X顆粒直徑3 mm.
2.2 模擬放射性廢液環境下銀膠體的制備
110mAg膠體主要存在于核電站工藝水和化學水中.工藝水源自核電站不能復用的一回路冷卻劑,在正常運行過程冷卻劑始終處于輻照場中,為了抑制溶解氧引起的腐蝕作用,冷卻劑中需要加入水合肼(水合聯氨),因此,冷卻劑具有還原性,檸檬酸可與110mAg形成110mAg0/檸檬酸納米金屬復合物;而化學水中含有多種化學去污過程中引入的絡合劑和表面活性劑,檸檬酸可與110mAg形成離子態絡合物.本文以水合肼為還原劑,以檸檬酸為代表性絡合劑,以鈷源為輻照場,在模擬低放廢液水化學環境下,分別采用化學還原法和60Co輻照法制備銀膠體,以便對110mAg膠體的化學形態進行深入分析. 具體制備方法如下.
化學還原法制備Ag-檸檬酸膠體(A)和單獨Ag膠體(B):分別配制銀濃度為1 g·L-1的硝酸銀溶液、1.7812 g·L-1的檸檬酸溶液、0.5460 g·L-1的水合肼溶液. Ag-檸檬酸膠體A制備中,取1 mL硝酸銀溶液、1 mL檸檬酸溶液和40 mL去離子水于50 mL的離心管,置于30 ℃、150 r·min-1的恒溫振蕩搖床中混合20 min,加入5 mL水合肼溶液,并將溶液總體積定容為50 mL,置于恒溫振蕩搖床中繼續反應2 h.單獨Ag膠體B的制備過程類似,區別在于不加入檬酸溶液.
輻照還原法制備Ag-檸檬酸膠體(C)和單獨Ag膠體(D):第一組10支石英玻璃試管中分別加入0.3 mL硝酸銀溶液、0.3 mL檸檬酸溶液和14.4 mL去離子水;第二組10支石英玻璃試管中分別加入0.3 mL硝酸銀溶液和14.7 mL去離子水,將兩組試管置于劑量率為30 Gy·min-1的 60Co輻照場實驗臺架上,每隔30 min在兩組中各取出1支試管. 用紫外吸收光譜測定所得樣品中Ag納米顆粒吸收峰,將第一組和第二組中峰值最高的樣品命名為Ag-檸檬酸膠體C和單獨Ag膠體D.
2.3 吸附性能測試
采用靜態批量實驗方法獲得材料對不同形態Ag物種的吸附分配系數(Kd),藉此對比不同形態Ag物種的吸附去除性能.在批量實驗中,將10 mg吸附劑加入到裝有40 mL測試溶液的聚四氟乙烯離心管中(固液比為250 mg·L-1),吸附反應在30 ℃下持續振蕩進行2 d. 吸附平衡后抽取一定量的混合液,采用0.15 μm的一次性微孔濾膜過濾去除懸浮物質,所得清液和初始溶液一起采用等離子體質譜(ICP-MAS)檢測Ag+濃度.
材料對Ag+的吸附性能可以用吸附百分比(A)和分配系數(Kd,mL·g-1)來表征,計算公式如下:

(1)

(2)
式中,Ci和Ce分別為溶液中初始離子濃度和平衡濃度(mg·L-1),V為吸附質溶液的體積(mL),m為吸附劑的質量(mg).
2.4 高級氧化實驗
銀膠體的高級氧化實驗在自制紫外線反應器中進行,聚四氟乙烯反應管容積為350 mL,石英紫外線燈管長19 cm,功率10 W,波長254 nm,使用電磁攪拌器進行攪拌.反應中取指定濃度的檸檬酸溶液或銀膠體250 mL于反應器,加入一定量的過氧化氫溶液,在紫外燈照射下連續攪拌反應,每隔30 min用微孔濾膜采樣器(0.15 μm)取出5 mL溶液進行分析.
2.5 Ag膠體結構、形貌表征及濃度測定
采用日本島津UV-1800紫外可見光分光光度計測定Ag膠體的紫外吸收曲線,波長的掃描范圍為300~900 nm,以相應不含銀的溶液作為參比;采用英國馬爾文公司的Zetasizer Nano測定銀膠體的粒徑和ζ-電位;采用日本JEOL公司的JEM2010高分辨透射電子顯微鏡測定銀膠體形貌,將樣品分散于等體積的乙醇中,超聲混合均勻后滴加到碳支持膜上,干燥后進行測試,加速電壓為200 kV.采用日本島津TOC-V CPH有機碳測定儀測定溶液的總有機碳來表征檸檬酸的氧化分解情況.Ag的濃度通過Thermo公司的ICP-MSXII進行測量,所有的待測樣品中均加入一定量的優級純硝酸溶液,抑制Ag物種的壁面吸附,并將原子態Ag轉化為離子態以利于分析檢測.
3 結果和討論
3.1 Ag膠體形態分析
已有眾多報道以聯氨還原方法、輻照方法及以檸檬酸為還原劑或者穩定劑制備納米Ag膠體,在這些以制備和形態控制為主旨的研究工作中,Ag+的初始濃度基本上在0.1 mol·L-1以上. 而核電站低放廢液中核素濃度低于10-6 mol·L-1量級.本文旨在模擬低放廢液水化學環境,研究其中Ag膠體存在的化學形態.為了能夠進行分析檢測,Ag+的初始濃度定為10-4 mol·L-1量級,重點研究當存在檸檬酸、還原劑聯氨和鈷源輻照的條件下,Ag能否形成納米銀顆粒,其形態具有怎樣的形態特征. 樣品的制備條件列于表 1.
表 1 銀膠體的不同制備條件

3.1.1 紫外可見光譜結果
UV-Vis吸收光譜是納米銀顆粒的重要特性,不僅可以判斷是否有納米銀顆粒形成,還可以通過吸收光譜峰的數量、峰位置來判斷顆粒的粒徑、形貌和所處的化學環境.圖 1a給出了A、B、C、D 4種銀膠體的UV-Vis吸收光譜圖,可以看出,膠體A、B、C中都出現了納米銀的特征吸收峰,其最大UV-Vis吸收波長依次出現在408、418、396 nm處,此外,膠體A、B在700 nm附近,膠體C在900 nm 附近還有吸收峰.根據文獻研究結果,不同形狀的納米銀顆粒的紫外吸收峰的數目和位置不同,球形和類球形的銀顆粒只有一個420 nm處的紫外吸收峰,而三棱柱和銀納米棒等其他形狀的銀顆粒在700~900 nm處有紫外吸收峰;此外,銀顆粒粒徑增大會使最大吸收波長紅移,反之粒徑減小則出現吸收峰的藍移.從實驗結果看,A、B、C 3種銀膠體的Ag+都被還原并形成了銀納米顆粒,顆粒形狀以球形和類球形為主,且都存在其他形狀的Ag顆粒;3種銀膠體相比,輻照與檸檬酸共存時顆粒度最小;檸檬酸與聯氨共存時次之;單獨聯氨還原的樣品顆粒度最大;單獨Ag+在輻照條件下沒有形成Ag納米顆粒.

圖 1銀膠體的紫外可見光譜圖(a.膠體A~D;b.膠體C不同輻照時間)
實驗中將反應后的溶液進行離心分離,上清液經過0.15 μm的微孔過濾器采樣,用ICP-MS測定了剩余Ag+的濃度,獲得了A、B膠體中Ag+的還原率分別為91.49%和96.84%,而D膠體的Ag+還原率極低.樣品C由于量少難以固液相徹底分離,僅采用NaCl溶液滴加的方法證明還存在未經還原的Ag+.
以上實驗說明,聯氨容易將Agaq+還原為納米銀顆粒,檸檬酸共存時還原率下降,顆粒粒徑也減小.參考已有研究,可能是由于檸檬酸易與Ag+形成配合物,在還原過程中起到了緩釋Ag+的作用,此外,檸檬酸也可作為穩定劑吸附于Ag納米顆粒表面,減輕了顆粒之間的團聚生長.輻照條件無法使單獨存在的Ag+還原,這是由于水在輻照環境下被激發電離,產生活性中間體既有具有還原性的e-、·H、H2,也有具有氧化性的·OH和H2O2,在只有AgNO3存在的體系中難以實現對Ag+的還原. 圖 1b中給出了在有檸檬酸存在下隨著輻照時間的延長Ag+逐漸被還原的過程,在此過程中檸檬酸起到了消耗氧化性活性中間體的作用,使得還原過程可以進行,水合電子將銀離子還原為銀原子,新生成的銀原子聚集成核,生長成銀納米顆粒. 此外,檸檬酸同樣也作為穩定劑阻止了顆粒的團聚長大,由圖 1b中可見,球形顆粒對應的紫外光譜吸收波長變化不大.輻照150 min后,繼續輻照將導致紫外吸收峰強度明顯下降,可能是由于輻照產生的活性中間體破壞了銀膠體的保護層,從而使得小顆粒聚集成大的團簇沉降在容器底部.
3.1.2 粒度與ζ-電位結果
對不同條件下獲得的銀顆粒的平均粒徑和表面ζ-電位進行了測定,結果列于表 2. 膠體C中銀的平均粒徑最小,為30.14 nm;膠體A中銀的平均粒徑略大于膠體C,為32.92 nm;而膠體B中銀的平均粒徑最大,為130.3 nm.對比3種條件下的ζ-電位值可見,由于檸檬酸存在時起到了穩定劑的作用,使得Ag顆粒表面負電荷增多,阻止了顆粒的團聚長大;采用聯氨直接還原獲得的B樣品,由于沒有保護劑,表面所帶的電荷較少,Ag顆粒的平均粒徑較大.該結果與紫外光譜分析結果一致,檸檬酸的存在可以使Ag顆粒粒徑減小.
表 2 銀膠體的粒度與ζ-電位

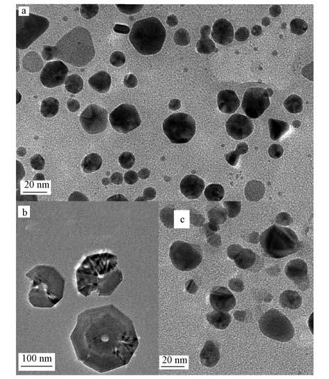
3.1.3 TEM結果
圖 2給出了銀膠體A、B、C的TEM圖.從圖中可見,樣品A中銀納米顆粒主要是球形的,有極少量的三棱柱銀納米片,顆粒度大多集中在20~40 nm之間;樣品B中銀納米顆粒有明顯的團聚現象,粒徑在100 nm以上且形狀不規則;樣品C中銀納米顆粒與樣品A中粒徑接近,但分布更加均勻且均為球形,這體現了輻射法合成銀膠體的產物粒徑小、分布窄且易控制的特點. TEM結果與激光粒度儀和紫外可見光譜的結果相符.

圖 2銀膠體的TEM圖(a. 膠體A; b.膠體B; c. 膠體C)
3.2 不同形態銀的吸附效果對比
從以上對Ag膠體形態的分析中可知,在模擬低放廢液水化學環境下,工藝水中同時存在原子態Ag納米顆粒和離子態Ag+,而且以Ag納米顆粒為主,粒徑在100 nm以上;在有檸檬酸等絡合劑存在下的TER段廢水中,檸檬酸既可以與Ag+形成離子態絡合物,也可以參與Ag納米顆粒的形成過程,使其粒徑降低至約30 nm. 由于Ag物種結構的不同可能會導致其吸附去除性能的不同,這也可能是目前核電站中110mAg去除率不高的原因. 本文對比測定了2種電站常用離子交換樹脂和1種分子篩吸附劑對不同形態銀物種的去除性能. 測定的銀物種包括硝酸銀溶液、檸檬酸保護銀膠體、銀-檸檬酸離子態絡合物,絡合離子中檸檬酸與Ag+的摩爾比分別為10(銀-檸檬酸離子態絡合物A)、1(銀-檸檬酸離子態絡合物B)和0.1(銀-檸檬酸離子態絡合物C).
圖 3給出了不同形態銀的吸附效果(logKd值)的對比結果.從圖中可以看出,各種吸附劑對銀離子的吸附效果最好,檸檬酸保護銀膠體次之,銀-檸檬酸離子態絡合物的去除性能最低,且隨著檸檬酸加入比例的提高,銀-檸檬酸絡合離子的吸附效果進一步變差.

圖 3不同吸附劑對不同形態銀的吸附效果
3.3 高級氧化對檸檬酸及銀膠體的效果
從不同銀物種的吸附去除性能看,要提高對110mAg的凈化性能,最有效的方法是通過高級氧化技術破壞檸檬酸與Ag的復合結構,使其轉變為單獨的Ag+.由于放射性廢物最小量原則,核電站對加入的化學試劑有嚴格的限制,因此,本文采用無殘留的UV+H2O2組合技術對檸檬酸和銀膠體進行氧化降解.
3.3.1 單獨檸檬酸和銀膠體的高級氧化性能
圖 4給出了不同的氧化方式和不同H2O2量對單獨檸檬酸的氧化效果.可見,單獨的H2O2對檸檬酸只有微弱的氧化效果,單獨紫外線的氧化效果要好于H2O2,但仍遠差于UV+H2O2組合技術.本文實驗條件下使用UV+H2O2方法基本上20 min以內即可使檸檬酸的氧化率達到90%以上;H2O2濃度為0.3 mL·L-1時,氧化效果最好;H2O2濃度的增加或減少都會使氧化效果略微下降.

圖 4檸檬酸的高級氧化(a:0.3 mL·L-1 H2O2;b:UV;c:UV+ 0.1 mL·L-1 H2O2;d:UV+0.3 mL·L-1 H2O2;e:UV+0.5 mL·L-1 H2O2)
圖 5A給出了不同的氧化方式和不同H2O2量對以聯氨還原劑制備的單獨Ag膠體(樣品B)的氧化效果.可見,單獨UV對Ag膠體幾乎沒有氧化作用;H2O2對Ag膠體具有一定的氧化性能,當H2O2的加入量為0.3 mL·L-1時,5 min可達到穩定的氧化率(45%);UV與H2O2相結合可以迅速提高Ag膠體的氧化率,當H2O2加入量為0.3 mL·L-1和0.5 mL·L-1時,氧化率分別可達87%和93%. 圖 5B中給出當H2O2加入量為0.1 mL·L-1時,Ag納米顆粒的紫外吸收峰隨著時間快速減弱,到27.6 min時,原子態Ag基本上被完全氧化.

圖 5單獨銀膠體的高級氧化性能(f:0.3 mL·L-1 H2O2;g:UV;h:UV+0.1 mL·L-1 H2O2;i:UV+0.30 mL·L-1 H2O2;j:UV+0.5 mL·L-1 H2O2)
3.3.2 檸檬酸穩定銀膠體的高級氧化性能
圖 6給出了3種氧化方式和H2O2添加量對檸檬酸穩定Ag膠體的氧化性能,其中,圖 6A為Ag的氧化率,圖 6B為以TOC方法測定的檸檬酸氧化率.與單獨檸檬酸和單獨Ag膠體氧化相似的是:單獨UV僅對檸檬酸分解有較弱的作用,對Ag膠體氧化性能差;單獨H2O2對Ag膠體有中等程度氧化作用,對檸檬酸氧化作用很弱. 但UV+ H2O2二者聯用對檸檬酸和Ag膠體的氧化效果均迅速提高,且隨著H2O2投加量的升高,氧化率升高. 考慮到核電站的特殊要求,盡量減少化學物質的投加量,本實驗中當H2O2濃度為0.3 mL·L-1時,5 min內即可以將膠體中98%以上的Ag轉變為離子形態Ag+釋放出來,而檸檬酸的氧化率在20 min后達到80%,與單獨檸檬酸氧化相比氧化率略有下降.

圖 6檸檬酸穩定銀膠體的高級氧化(a,f:0.3 mL·L-1 H2O2;b,g:UV;c,h:UV+0.1 mL·L-1 H2O2;d,i:UV+0.30 mL·L-1 H2O2;e,j:UV+0.5 mL·L-1 H2O2)
3.3.3 氧化動力學分析
為了研究Ag膠體和檸檬酸氧化的動力學特性,本文分別采用了偽一級(式(3))、偽二級(式(4))及改進的一級動力學模型(式(5)),對檸檬酸、單獨Ag膠體及檸檬酸穩定Ag膠體的氧化過程進行了計算分析,結果列于表 3和表 4中.

(3)

(4)

(5)
式中,t為反應時間(min),C0為被氧化物質的初始濃度(mg·L-1),Ct為被氧化物質t時刻的濃度(mg·L-1),k1是偽一級反應的速率常數(min-1),k2是偽二級反應的速率常數(L·mg-1·min-1),k1代表開始時反應速率的快慢,顯然,k1越大初始反應速率越大,其主要取決于反應的初始條件如紫外線強度和雙氧水濃度值等;而k2代表反應速率隨時間的降低程度,k2越大反應速率隨時間下降得越快,主要取決于反應過程中水質變化,如雙氧水消耗速率等.
從表 3可見,單獨檸檬酸的高級氧化較好地符合偽二級動力學方程,而檸檬酸穩定Ag膠體氧化過程中檸檬酸的氧化基本上更符合偽二級動力學方程,但計算的準確性不高;而采用黎雷等提出的改進一級動力學模型計算,準確度有較大的提高. 與單獨檸檬酸氧化相比,檸檬酸穩定Ag膠體氧化過程中檸檬酸的初始氧化速率下降. 從表 4及計算結果可見,單獨Ag膠體的氧化更符合偽二級動力學方程;而檸檬酸穩定Ag膠體氧化過程中,當H2O2濃度小于0.3 mL·L-1時,銀膠體的氧化符合偽一級動力學方程,而當H2O2濃度為0.5 mL·L-1時,銀膠體的氧化更符合偽二級動力學方程.采用改進一級動力學模型計算,同樣可以提高準確度.
表 3 檸檬酸的高級氧化動力學計算

表 4 銀膠體的高級氧化動力學計算

偽一級與偽二級動力學模型是一個較為理想的應用模型,其中假設反應速率為常數,而且體系中其他水化學參數不改變,或者對反應速率沒有影響. 檸檬酸穩定Ag膠體氧化過程同時包括了Ag顆粒的氧化和檸檬酸的氧化兩個反應,且二者之間有著復雜的關系,這可能導致了偽一級與偽二級模型計算精確度降低.
3.3.4 氧化后吸附效果
為了驗證檸檬酸保護Ag膠體高級氧化不同階段的吸附性能的提升程度,在UV+ 0.5 mL·L-1 H2O2的條件下取不同氧化時間的溶液對其進行吸附性能測試,結果如圖 7所示.從圖中可以看出,高級氧化確實提升了銀的吸附效果.具體參見污水寶商城資料或http://www.dongaorq.cn更多相關技術文檔。

圖 7分子篩13X對高級氧化不同階段的銀膠體的吸附性能
4 結論
本文模擬核電站低放廢液的水化學環境,研究了放射性核素110mAg可能的存在形態,并對提高其凈化性能提出了可行的方案.結果表明,在低放廢液中同時存在原子態Ag納米顆粒和離子態Ag+,在有絡合劑檸檬酸存在條件下,檸檬酸可以形成Ag-檸檬酸絡合離子及檸檬酸穩定的Ag膠體顆粒,檸檬酸的加入可以使Ag顆粒的粒徑減小.常規使用的離子交換樹脂和吸附劑對單獨的Ag+具有最好的凈化性能,但對膠體態Ag納米顆粒、尤其是Ag-檸檬酸絡合離子的凈化性能較差.采用H2O2+UV的高級氧化技術可以將檸檬酸和原子態Ag氧化,從而使膠體態及絡合態的Ag物種轉變為單獨的離子態Ag+,這樣將大大提高離子交換樹脂和無機吸附劑對Ag的去除性能,減輕110mAg的排放風險.


