近年來, 城市生活污水呈現出低碳氮比的趨勢, 給污水處理廠的正常運行和達標排放帶來一系列的問題.如, 大量外碳源的投加和高的回流比造成去除單位污染物的能耗高, 低有機負荷和低溶解氧條件下污泥的膨脹以及脫氮效率差等問題.鑒于此, 本研究提出了一種新型的混凝沉淀/后置固相反硝化濾池工藝(CS-BAF-SPDB)用于低碳源污水的脫氮處理.該工藝的優點在于:強化了一級生化處理(CS), 既緩解了進水SS對后續生物濾池單元的堵塞問題, 同時也緩解了進水中過高的有機物濃度對硝化濾池中硝化作用的抑制(前期研究發現BAF的最適C :N比為3 :1);采用硝化濾池(BAF)強化低碳源污水的硝化作用, 既可以保證生物量, 又可以避免污泥絲狀菌膨脹.固相反硝化濾池(SPDB)采用固體碳源代替傳統的填料和液體碳源, 從根本上解決了反硝化對進水碳源的依賴, 可以避免液體碳源在有氧條件下的無效消耗, 連續穩定地為生物反硝化提供有機碳源, 同時也可以避免液體碳源投加過量導致的運行成本高和出水有機物易超標等問題.并且, 前期的研究表明固體碳源具有很高的機械強度和非常長的使用壽命(質量損失為0.05% ·d-1), 可使反硝化濾池保持長期穩定的反硝化效果.
氣水比是影響BAF-SPDB工藝脫氮效率的一個關鍵因素.氣水比太小, 則BAF中的硝化不完全, 不僅出水氨氮超標, 同時無法為后續的反硝化提供穩定的硝酸鹽; 氣水比太大, 一方面會造成能耗過高, 同時BAF出水中過高的溶解氧濃度也會對固相反硝化濾池中的缺氧環境造成一定的破壞, 進而對反硝化造成影響.因此, 確定合適的氣水比是保證該工藝獲得理想脫氮效果的關鍵.
本課題組前期研究了工藝的啟動情況及進水C/N比、HRT、溫度和進水氨氮負荷對工藝脫氮效果的影響.在此基礎上, 本文重點研究了氣水比對該工藝脫氮效果的影響, 并采用聚合酶鏈式反應-變性梯度凝膠電泳(PCR-DGGE)技術研究了微生物群落結構隨氣水比的變化規律, 以期為工藝優化與反應機制的研究提供分子生態學依據.
1 材料與方法1.1 試驗材料
聚己內酯(PCL)和黏土陶粒分別由深圳光華偉業實業有限公司和江西萍鄉三河陶瓷有限公司提供, 兩種填料的理化性質如表 1所示.
表 1 黏土陶粒和聚己內酯的理化性質
1.2 試驗裝置
CS-BAF-SPDB主要由混凝沉淀池, 硝化濾池和固相反硝化濾池組成, 濾池主體采用有機玻璃制作, 其結構如圖 1所示.其中混凝池和沉淀池的體積均為10 L; 曝氣生物濾池的濾柱高度為175 cm, 內徑為8 cm, 濾柱內填充的濾料為黏土陶粒, 填充高度為87 cm, 從承托層頂部到填料頂部共設4個取樣口(B1、B2、B3和B4);固相反硝化濾池的濾柱高度為130 cm, 內徑為8 cm, 濾柱內填充的濾料為聚己內酯顆粒, 填充的高度為27 cm, 從承托層頂部到填料頂部共設3個取樣口(D1、D2和D3).曝氣生物濾池和固相反硝化濾池的有效體積(液體體積)分別為4.0 L和3.2 L.工藝進水流量通過蠕動泵(BT-1002J)控制.曝氣生物濾池由空壓機供氣, 進氣量通過氣體流量計和閥門控制.溫度控制儀嚴格控制進水水溫和濾池內的溫度.
圖 1
圖 1 試驗裝置示意1.3 反應器運行與取樣方法
前期的研究成功實現了CS-BAF-SPDB的啟動, 并確定了BAF進水中的合適C/N比, BAF和SPBD的理想HRT和運行的適宜溫度.為研究低碳源條件下氣水比對CS-BAF-SPDB工藝脫氮效果的影響.保持進水氨氮濃度為30 mg ·L-1, 混凝沉淀單元出水中的C/N控制在3 :1, 溫度維持在(28℃ ±1℃), BAF和SPDB的水力停留時間分別為4 h和2 h, 使得BAF的氣水比在6 :1(進氣量100 mL ·min-1)到1 :1(進氣量16.7 mL ·min-1)的范圍內變化.當連續3 d出水的NO3--N濃度相對誤差在5%之內, 認為系統在該氣水比條件下已趨于穩定, 可以改變氣水比到另一水平.另外, 前期的研究已經確定, BAF中的硝化菌主要集中在B3取樣口, 而SPDB中的反硝化菌主要集中在D2取樣口.因此, B3和D2取得生物膜樣品更具有代表性.當系統在各氣水比條件下穩定運行時, 從B3和D2取樣點取生長有生物膜的陶粒和固體碳源填料, 利用超聲波將填料上的生物膜剝離, 去掉填料, 離心后棄掉上清液, 沉淀物即生物膜樣品, -20℃保存.
1.4 DNA的提取和PCR擴增
采用FastDNATMSPIN Kit For Soil提取樣品基因組DNA.以樣品基因組DNA為模板, 采用細菌通用引物GC-338F和518R擴增樣品16S rDNA高變區序列. PCR擴增體系(50 μL)為: 10×PCR buffer 5 μL; dNTP(2.5 mmol ·L-1)3.2 μL; rTaq(5 U ·μL-1)0.4 μL; GC-338F(20 mmol ·L-1)1 μL; 518R(20 mmol ·L-1)1 μL; 模板DNA 50 ng; 補ddH2O至50 μL.
PCR擴增程序為: 94℃預變性5 min; 94℃變性1 min, 55℃復性45 s, 72℃延伸1 min, 30個循環; 最終72℃延伸10 min. PCR產物采用OMEGA公司DNA Gel Extraction Kit純化回收.
PCR儀為Biometra公司生產的T-gradient, 凝膠成像儀為Bio-Rad公司的Gel-Doc2000凝膠成像系統.
1.5 PCR產物的變性梯度凝膠電泳(DGGE)分析
取10 μL PCR的產物進行變性梯度凝膠電泳(DGGE)分析.采用變性梯度為35%~55%、濃度為7%的聚丙烯酰胺凝膠在1×TAE緩沖液中150V 60℃下電泳5 h.
變性梯度凝膠電泳(DGGE)完畢后、采用銀染法染色、步驟如下:固定液(乙醇50 mL、冰醋酸2.5 mL、定容500 mL)固定15 min; Milli-Q純水清洗、20 s和2 min各一次; 銀染液(硝酸銀1 g、37%甲醛0.75 mL、定容500 mL)染色15 min; Milli-Q純水清洗、20 s和2 min各一次; 顯色液(氫氧化鈉7.5 g、37%甲醛2.5 mL、定容500 mL)顯色5~7 min; 最后用終止液(乙醇50 mL、冰醋酸2.5 mL、定容500 mL)終止反應.染色結束后在Gel-Doc2000(Bio-Rad, USA)凝膠成像系統上拍照.
1.6 DGGE圖譜中優勢條帶的回收與測序
用滅菌的手術刀切下待回收DGGE條帶, 采用OMEGA公司Poly-Gel DNA Extraction Kit回收目的條帶.
以2 μL回收產物為模板, 338F/518R為引物進行PCR擴增. PCR擴增體系(50 μL)為: 10×PCR buffer 5 μL; dNTP(2.5 mmol ·L-1)3.2 μL; rTaq(5 U ·μL-1)0.4 μL; 338F(20 mmol ·L-1)1 μL; 518R(20 mmol ·L-1)1 μL; 模板DNA 1 μL; 補ddH2O至50 μL. PCR擴增程序為: 94℃預變性4 min; 94℃變性30 s, 55℃復性30 s, 72℃延伸30 s, 30個循環; 最后, 72℃延伸10 min.
將重新擴增的DNA片段切膠回收、純化后, 連接到Pmd18-T載體上, 并轉化至DH5α感受態細胞中, 篩選陽性克隆, 菌液采用測序儀(ABI 3730, 美國)對插入的細菌16S rDNA片段進行序列測定.
1.7 數據分析
測序結果采用DNAstar和Cluster軟件進行序列分析, 下載最相似的菌株序列作為系統發育樹的參考序列.然后采用MEGA軟件, Neighbor-joining法構建系統發育樹, 自展數(bootstrap)為1000.
2 結果與討論2.1 氣水比對后置固相反硝化濾池工藝脫氮性能的影響
圖 2所示為氣水比對CS-BAF-SPDB工藝硝化, 反硝化及TN去除的影響.從圖 2(a)可以看到, 當氣水比從6 :1降低到4 :1時, 氣水比的變化對硝化作用的影響很小.雖然BAF出水中硝態氮的濃度隨氣水比的變化波動較大, 但是當硝化效果在每個氣水比條件下達到穩定時, BAF出水中硝態氮濃度在氣水比變化前后的差別很小.但是, 隨著氣水比的進一步的降低, BAF中的硝化作用受到了明顯的抑制. BAF出水中的硝態氮濃度從氣水比為4 :1時的21.78 mg ·L-1迅速下降到氣水比為3 :1時的13.15 mg ·L-1, 并逐漸降低到氣水比為1 :1時的9.08 mg ·L-1.氨氮去除率隨氣水比的降低可能與BAF中硝化菌的生物活性降低有關.據Li等的報道, 當氣水比從2 :1增加到3 :1時, 硝化菌的生物活性(以O2計)上升了3.8 mg ·(mg ·h)-1.從圖 2(b)可以看出, 當氣水比從3 :1降低到2 :1時, 由于硝化效果的惡化, BAF出水中氨氮濃度出現了明顯的上升.同時, BAF出水中氨氮的濃度和SPDB出水中氨氮的濃度非常接近, 說明SPDB對氨氮幾乎沒有去除效果.
圖 2
(a)硝態氮; (b)氨氮; (c)亞硝態氮; (d)總氮圖 2 氣水比對CS-BAF-SPDB工藝硝化、反硝化以及TN去除的影響氣水比的變化對反硝化造成的影響比較明顯.如圖 2(a)所示, 當氣水比從6 :1降低到4 :1時, BAF出水中的平均硝態氮濃度幾乎未發生變化(22.5~22.1 mg ·L-1), 而SPDB出水中的硝態氮濃度則從5 mg ·L-1降低到1 mg ·L-1, 表明在高氣水比條件下反硝化過程受到了一定的抑制.如前面所述, PCL通過生物降解釋放出的有機碳源可以消耗BAF出水中攜帶進入SPDB的溶解氧以維持反硝化所需的缺氧環境.但是, PCL在生物降解作用下釋放出的有機碳源的量是有限的.在氣水比較高的情況下, BAF出水中攜帶的溶解氧濃度也高(7.2 mg ·L-1).當BAF出水攜帶進入SPDB的溶解氧的濃度超過PCL釋放出的有機物所能消耗的溶解氧時, 殘留的溶解氧(3.0 mg ·L-1)將破壞缺氧的環境, 進而使得反硝化不能順利地進行.從圖 2(a)也可以看出, 在氣水比從4 :1降低到1 :1的過程中, SPDB出水中的硝態氮濃度幾乎沒發生變化, 且一直維持在非常低的水平.
總之, 當氣水比低于4 :1時, 氣水比的變化對反硝化幾乎沒有影響, 但是對硝化具有非常明顯的抑制作用; 當氣水比高于4 :1時, 氣水比的變化對硝化幾乎沒有影響, 但是對反硝化影響較大.此外, CS-BAF-SPDB工藝對TN的去除率也是先上升后下降, 并且在氣水比為4 :1時達到最佳, 從圖 2(d)可以看出, 此時TN的去除率為91.6%.因此, 為同時實現最佳的硝化和反硝化效果, 混凝沉淀/后置固相反硝化濾池工藝中硝化濾池的氣水比應該設定為4 :1.
2.2 DGGE圖譜分析
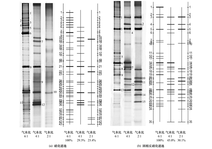
圖 3(a)所示為不同氣水比條件下硝化濾池生物膜樣品的DGGE圖譜及量化分析.從中可以看出, 隨著氣水比的降低, 泳道上的條帶數量出現了明顯的減少(從氣水比為6 :1時的31減少到氣水比為2 :1時的10).這說明, 硝化濾池中相當一部分的微生物為好氧菌, 且其對溶解氧有較高的要求, 在低溶解氧條件下無法生存而逐漸被淘汰, 進而導致硝化濾池中微生物的多樣性在不斷下降.例如, 條帶1、2、3、4和6等只出現在氣水比為6 :1的條件下, 而在其他氣水比條件下卻沒有發現.條帶8、9和10在各個泳道中都有出現, 說明這些條帶代表的微生物具有很強的適應性和較寬的生態幅.但是, 條帶8和10在氣水比為2 :1時條帶信號亮度出現了明顯的降低, 說明條帶8和10代表的微生物的數量在低溶解氧條件下出現了明顯的降低.此外, 有些微生物群落只在特定的情況下才出現, 如條帶7和12代表的微生物只有在氣水比為4 :1的條件下才出現, 并成為優勢菌落.具體聯系污水寶或參見http://www.dongaorq.cn更多相關技術文檔。
圖 3
圖 3 不同氣水比條件下生物膜樣品的DGGE條帶及量化分析圖 3(b)所示為不同氣水比條件下固相反硝化濾池生物膜樣品的DGGE圖譜及量化分析.從中可以看到, 氣水比的變化對微生物的多樣性有一定的影響, 但是影響程度較小, 各泳道上的條帶數(從氣水比為6 :1時的21減少到氣水比為2 :1時的15)變化較小.說明氣水比的變化對固相反硝化濾池微生物多樣性的影響程度要低于硝化濾池.條帶1、3、8、13和15各個泳道中都有出現且濃度較高, 說明這些條帶代表的微生物都是優勢菌群, 且具有很強的適應性和較寬的生態幅.此外, 當氣水比降低到2 :1時, 這些條帶的信號亮度出現了明顯的上升, 說明低溶解氧的環境有利于這些微生物的生長, 使得這些微生物的生長速率增加, 數量上升.條帶2、11、12和14所代表的菌群隨著氣水比的降低逐漸在固相反硝化濾池中成為優勢菌群, 表明這類菌群是缺氧或厭氧微生物, 可以通過控制氣水比使這些菌群富集.此外, 有些微生物菌落只在特定的條件下才會出現.如條帶5和9代表的菌落只在氣水比為6 :1時出現, 而條帶7只有在氣水比為4 :1時才出現.
2.3 特征條帶回收測序和系統發育分析
變化明顯的優勢條帶經過切膠回收、擴增、再回收、純化、克隆轉化后進行序列的測定, 并對測序結果進行Blast比較鑒定, 尋找與序列相似性最高的已知分類地位的菌株, 結果見表 2和表 3.對上述條帶采用MEGA軟件, Neighbor-joining法構建系統發育樹, 結果如圖 4和5所示.
表 2 硝化濾池DGGE凝膠條帶回收序列分析結果
表 3 固相反硝化濾池DGGE凝膠條帶回收序列分析結果
圖 4
圖 4 基于16S rDNA序列的硝化濾池生物膜中主要菌落的系統發育樹圖 5
圖 5 基于16S rDNA序列的固相反硝化濾池生物膜中主要菌落的系統發育樹從表 2和圖 4可以看出, 條帶8和10對應的菌株分別與Nitrosomonas sp. Nm47和Candidatus Nitrospira defluvii最相似. Nitrosomonas sp. Nm47和Candidatus Nitrospira defluvii分別是廢水生物處理系統中重要的氨氧化菌和亞硝酸鹽氧化菌.因此, Nitrosomonas sp. Nm47和Candidatus Nitrospira defluvii是硝化濾池中主要的硝化細菌.當氣水比從6 :1降低到4 :1后, 代表這兩種微生物菌屬的條帶沒有發生明顯的變化, 說明氣水比在一定范圍內的降低不會對硝化細菌的組成和數量造成顯著的影響.相應地, 當氣水比從6 :1降低到4 :1后, 硝化濾池硝化效果變化不大, 始終保持較高的氨氮去除率(圖 2).但是當氣水比從4 :1進一步降低到2 :1后, 代表這兩種微生物菌屬的條帶信號亮度出現了明顯的降低, 說明氨氧化菌和亞硝酸鹽氧化菌的數量出現了明顯的下降.相應地, 當氣水比從4 :1降低到2 :1后, 硝化作用受到明顯的抑制, 氨氮去除率明顯下降(圖 2).造成這種現象的原因可能在于, 硝化濾池在低溶解氧條件下, 缺氧環境可能在生物膜中形成, 使得硝化細菌的生長和活性受到一定程度的影響.綜上所述, 氣水比降低后導致的氨氧化菌和硝酸鹽氧化菌數量及活性的下降是導致硝化效果惡化的直接原因.條帶9和12對應的菌株與Acinetobacter calcoaceticus和Acinetobacter sp.的相似性均達到了100%. Acinetobacter calcoaceticus與Acinetobacter sp.是生物膜中比較常見的異養硝化菌, 可以利用進水中的有機物進行硝化作用.在氣水比為6 :1時, 這兩種微生物的數量較低, 而當氣水比降低到4 :1后, 這兩種微生物逐漸發展成為優勢菌.氣水比的降低減少了異養好氧菌對有機物的消耗, 使得有機物濃度有所上升, 有利于異養硝化菌的生長, 同時異養硝化菌的硝化過程幾乎不受溶解氧濃度的影響.當氣水比從6 :1降低到4 :1的過程中, 雖然硝化細菌的數量和活性未發生明顯的變化, 但是氣水比的降低會影響溶解氧在生物膜中的傳遞速率, 然而硝化效果并未受到明顯影響, 說明異養硝化菌這類優勢菌的形成彌補了溶解氧對硝化的影響.條帶7和11對應的菌株分別與Pseudomonas sp.和Enterobacter aerogenes最接近. 其中前者為厭氧發酵過程中常見的厭氧產氫菌, 而后者為典型的兼性厭氧菌.這兩種菌落的富集也進一步證實了氣水比的降低對溶解氧在生物膜中的傳遞產生了不利的影響.
表 3和圖 5所示分別為固相反硝化濾池DGGE凝膠條帶回收序列分析結果及主要菌落的系統發育樹.從中可以看出, 條帶1、3、8和13對應的菌株分別為Dechloromonas agitata、Myxobacterium AT3-03、Comamonas granuli和Rubrivivax gelatinosus. Ginige等的研究表明, Dechloromonas是以甲醇作為碳源馴化的活性污泥中的主要反硝化菌. Manucharova等的研究發現, Myxobacteria可以以固體碳源(草生灰化石)作為唯一碳源進行反硝化, 并且該菌株在草生灰化石中是最活躍的反硝化菌, 表現出最強的反硝化活性. Comamonas granuli菌株屬于叢毛單胞菌科, 具有將硝態氮還原成亞硝態氮的能力; Rubrivivax gelatinosus可以將亞硝態氮還原為氮氣, 但是不能以硝態氮作為電子受體.上述條帶對應的反硝化菌群是固相反硝化濾池中的優勢菌群, 且在3個氣水比條件下的泳道中都存在, 表明氣水比的變化對固相反硝化濾池中的優勢菌反硝化菌的影響較小.當氣水比降低到2 :1時, 上述條帶代表的微生物的數量出現了較明顯的增加, 說明在低氣水比條件下, 硝化濾池中出水攜帶進入固相反硝化濾池的溶解氧濃度低, 在固相反硝化濾池中營造了良好的缺氧環境, 有利于反硝化菌的生長和繁殖.條帶5與菌株Nitrosomonas sp. Nm47最接近.從前面的分析已知, Nitrosomonas sp. Nm47是典型的氨氧化菌.該菌在固相反硝化濾池生物膜中的出現, 表明表層生物膜存在一定濃度的溶解氧.造成這種情況的原因可能在于, 在氣水比較高的情況下, 硝化濾池未被完全利用的溶解氧隨出水進入到固相反硝化濾池中, 而反硝化濾池底部固相碳源材料在微生物降解作用下釋放的有機碳源在好氧微生物的呼吸作用下消耗的溶解氧有限, 部分未被消耗的溶解氧進入濾池中部填料表面的生物膜.當氣水比降低到4 :1, 條帶5消失了, 說明硝化濾池出水中的溶解氧濃度較低, 且在固相反硝化濾池底部就被消耗掉了, 可以保持較好的缺氧環境.對比不同氣水比條件下固相反硝化濾池的反硝化效果的研究(圖 2)結果也證實了這一點.當氣水比為6 :1時, 固相反硝化濾池出水的硝態氮濃度波動較大, 表明反硝化受到硝化濾池出水中溶解氧的影響.但是, 當氣水比為4 :1時, 出水中的硝態氮則一直維持在較低的水平.條帶4對應的菌株為Pseudomonas sp..付曉的研究發現Pseudomonas sp.可以通過分泌PCL解聚酶將PCL分解為PCL單體和二聚體, 而據Honda等的研究發現, 反硝化菌可直接利用PCL的單體和二聚體作為電子供體進行反硝化.此外, Pseudomonas sp.還是一種好氧反硝化菌, 在有溶解氧存在的條件下可以利用氧氣作為電子受體進行反硝化作用.條帶12、14和15對應的菌株分別是Acinetobacter sp.、Bacillus sp.和Thiobacillus aquaesulis, 這些菌株均屬于好氧反硝化菌. Acinetobacter sp.受氣水比的影響較小, 而Bacillus sp.和Thiobacillus aquaesulis則隨著氣水比的降低逐漸成為優勢菌株.說明氣水比的降低有利于固相反硝化濾池中好氧反硝化菌的富集.
3 結論
(1) BAF-SPDB工藝中BAF的最佳氣水比為4 :1.在該氣水比條件下, BAF和SPDB針對低碳源污水可同時獲得理想的硝化和反硝化效果, 并且BAF-SPDB工藝對TN的去除率可達到91.6%.
(2) 宏觀運行參數對BAF和SPDB處理效果的影響和微觀微生物群落的動態變化直接相關.在BAF中, 氨氧化菌(Candidatus Nitrospira defluvii)和亞硝酸鹽氧化菌(Nitrosomonas sp. Nm47)的組成, 數量與活性隨氣水比的變化直接決定了BAF中硝化效果的好壞, 而SPDB中固體碳源降解反硝化微生物Pseudomonas sp.、Myxobacterium AT3-03和異養反硝化菌Dechloromonas agitate, Comamonas granuli和Rubrivivax gelatinosus的群落結構隨氣水比的變化直接決定了SPDB中有機碳源的釋放和反硝化效能的優劣.同時, Acinetobacter calcoaceticus、Acinetobacter sp.、Bacillus sp.和Thiobacillus aquaesulis等異養硝化和好氧反硝化菌也在系統中發揮重要作用.(來源:環境科學 作者:張千)










