水體富營養化近年來在世界各地頻繁發生, 導致大量水域出現水質惡化現象, 嚴重影響了居民健康及生態環境, 受到水環境領域研究人員的重視.水中氮和磷等營養元素含量較高是造成水體富營養化現象的關鍵原因, 因此去除污水中的氮素和磷源已經成為污水處理領域的重要任務.目前污水處理廠大多采用活性污泥法對污水進行處理, 因其具有處理效果好和能耗較低等優點得到廣泛應用, 但在運行過程中發現普通活性污泥存在沉降性能較差和易發生污泥膨脹等問題.好氧顆粒污泥(aerobic granular sludge, AGS)是一種顆粒狀活性污泥, 內部存在層狀空間結構, 單個顆粒能提供微生物所需的好氧/缺氧/厭氧環境, 可以同時進行硝化、反硝化和除磷過程, 具有沉降性能好[4]和抗沖擊負荷能力強等優點, 可以極大地降低運行成本, 在廢水處理領域受到了極大的關注.荷蘭、意大利和克羅地亞等國已將AGS工藝成功用于實際工程, 并且運行效果良好.
研究人員通常采用一次進水-曝氣策略, 通過在周期內形成厭氧/好氧(A/O)的運行環境來培養顆粒污泥, 這樣做的原因是聚磷菌(phosphate accumulating organisms, PAOs)的生長需要先在厭氧條件下吸收揮發性脂肪酸, 將其轉化為聚羥基鏈烷酸酯(poly-hydroxyalkanoates, PHA)并貯存在體內, 再在好氧條件下氧化分解PHA, 用于充分吸收水中的磷酸鹽, 以達到除磷的目的.但作者在采用一次進水-曝氣策略下馴化絮狀污泥以啟動AGS工藝時, 發現運行初期絮狀污泥在好氧條件下無法形成反硝化所需的厭氧環境, 反應器內會存在大量NO3--N, 對PAOs厭氧釋磷產生影響.然而釋磷過程是保證PAOs良好除磷性能的前提, 且有研究表明, PAOs釋磷時會形成大量帶正電的微粒, 能吸附帶負電的細胞體, 可以作為顆粒污泥的晶核; PAOs除磷過程還會產生磷酸鹽沉淀, 可作為細胞附著的內核, 成為顆粒生長的“起點”, 兩者均能夠促進顆粒污泥的形成, 對生活污水中快速顆粒化的實現具有重要作用.因此, 筆者提出多次進水-曝氣策略, 在周期內進行多組進水、非曝氣和曝氣的組合, 通過實現多次硝化反硝化, 以降低系統中NO3--N濃度, 減輕NO3--N對PAOs的抑制, 提高除磷效果, 以便在顆粒化初期利用除磷過程中產生的正電微粒和磷酸鹽沉淀, 促進顆粒污泥的形成, 縮短污泥顆粒化過程所需的時間.
基于此, 本研究選用兩組SBR反應器(R1和R2)培養AGS, R1以一次進水-曝氣策略運行, R2以多次進水-曝氣策略運行, 通過研究污泥形態、粒徑變化、EPS和去除性能等參數, 對比探究一次/多次進水-曝氣策略對生活污水AGS工藝啟動和運行的影響, 以期為實際工程提供理論基礎.
1 材料與方法
1.1 實驗裝置與運行方式
本實驗采用兩組有機玻璃制成的SBR反應器(R1和R2), 有效容積12 L, 換水比為50%, 通過轉子流量計控制曝氣量為1.0 L·min-1, 用PLC控制進水、攪拌、曝氣和出水.反應器每天運行4個周期, 每周期6 h, 其中通過蠕動泵在相同轉速下, 以底部進水的方式進水12 min, 以保證兩個反應器周期內進水量相同, 厭氧反應90 min, 好氧反應240 min, 沉淀時間從15 min逐漸縮短為3 min, 出水和閑置共計15 min.周期內運行參數如表 1所示.

表 1 反應器運行參數/min
1.2 接種污泥與實驗用水
接種污泥為北京市某污水處理廠二沉池回流污泥, R1和R2初始MLSS分別為3 539 mg·L-1和3 624 mg·L-1.實驗用水取自某小區化糞池的生活污水, 具體水質指標如表 2所示.

表 2 生活污水水質
1.3 分析項目及方法
NH4+-N采用納氏試劑光度法測定; NO2--N采用N-(1-萘基)-乙二胺光度法測定; NO3--N采用紫外分光光度法測定; MLSS采用標準重量法測定; TN采用過硫酸鉀消解-紫外分光光度法測定; COD和總磷的測定采用5B-3B COD多參數快速測定儀; 污泥中EPS的提取采用熱提取法, PN測定采用考馬斯亮藍法, PS測定采用苯酚硫酸法; 顆粒粒徑測定采用Mastersize 2000型激光粒度分析儀, 顆粒形態觀察使用體式顯微鏡.
1.4 燒杯實驗
本實驗過程中定期考察污泥中反硝化聚磷菌(denitrifying poly-phosphorus accumulating organism, DPAO)的富集情況.測試方法如下:從反應器中取出5 L泥水混合物于燒杯, 污泥清洗后去除上清液, 加入水和丙酸鈉后, 恢復混合液體積至5 L, 使COD濃度為300 mg·L-1, 厭氧攪拌180 min.靜置后倒棄上清液, 加入水和磷酸二氫鉀, 恢復體積至5 L, 使TP濃度為6 mg·L-1, 再平均分兩份, 對一份進行曝氣, 使其好氧反應, 發生好氧吸磷; 另一份加入硝酸鉀, 使硝酸鹽濃度為20 mg·L-1, 進行缺氧吸磷.實驗過程中定時取樣測缺氧和好氧反應階段的TP濃度.
2 結果與討論
2.1 一次/多次進水-曝氣策略對AGS形成及沉降性能的影響
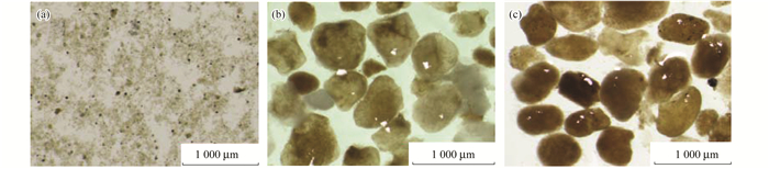
圖 1所示為實驗期間R1和R2內污泥粒徑變化.R1和R2接種污水處理廠絮狀污泥, 平均粒徑為70 μm, 如圖 2(a)所示.隨著反應器運行, R1和R2分別在第19 d和第11 d出現細小顆粒.經56和39 d后, R1和R2的平均粒徑達到340 μm, 認為R1和R2中實現污泥顆粒化, 成功啟動AGS工藝.培養105 d后, R1和R2內顆粒穩定, 平均粒徑達到740 μm和791 μm, 顆粒形態如圖 2(b)和2(c)所示, 與R1相比, R2中顆粒大小相近, 形態更加圓潤, 結構密實.由于R2采用多次進水-曝氣策略, 能在周期內多次為反硝化菌提供碳源, 并在進水后進入厭氧段, 為絮狀污泥提供反硝化所需的厭氧環境, 以便反硝化菌脫氮.與R1采用的一次進水-曝氣策略相比, 多次進水-曝氣策略降低了啟動期間的NO3--N濃度, 減輕NO3--N對PAO釋磷的抑制, 提高了除磷效果.有研究表明, 生物除磷過程中會形成磷酸鹽沉淀和帶正電的微粒, 可作為細胞附著的內核, 成為顆粒生長的“起點”.由此分析, 啟動期間R2中NO3--N濃度低于R1, 除磷效果更好, 易產生磷酸鹽沉淀和帶正電的微粒, 正電微粒能吸附帶負電的細胞體, 可作為顆粒污泥的晶核; 磷酸鹽沉淀可作為細胞附著的內核, 與絮狀污泥通過EPS黏附結合, 形成聚集體, 兩者都可以促進顆粒污泥形成, 故與R1相比, R2的污泥顆粒化時間較短.

圖 1 運行期間R1和R2反應器中顆粒平均粒徑變化

(a)為接種污泥; (b)和(c)為第105 d時R1和R2中的污泥
圖 2 污泥顯微鏡照片
胞外聚合物(extracellular polymeric substances, EPS)是微生物在生理活動中分泌的胞外黏性物質, 主要由蛋白質(PN)和多糖(PS)組成.有研究發現EPS通過減少細胞表面的負電荷, 將兩個相鄰的細胞進行物理連接, 對AGS的形成和穩定性有重要意義, 為此本實驗研究了運行期間PN、PS和PN/PS的變化規律, 結果如圖 3所示.

圖 3 運行期間R1和R2的EPS和PN/PS變化
在啟動階段(0~56 d和0~39 d), R1和R2中的PN、PS和PN/PS呈上升趨勢, PN從接種初期的3.01 mg·g-1增加至7.67 mg·g-1和9.10 mg·g-1, PS由7.1 mg·g-1增至7.39 mg·g-1和8.01 mg·g-1, PN/PS由0.43增至1.04和1.14.顆粒形成后(57~105 d和40~105 d), PN和PS含量與PN/PS值基本穩定, 表明R1和R2系統運行穩定.實驗表明在顆粒化階段, 相較于PS含量變化, PN含量大量增加, 表明PN在顆粒化過程中可能起主要作用, 這與Su等的研究結果一致, 分析原因為PN具有大量帶負電荷的氨基酸, PN含量的增加不僅可以降低細菌細胞的表面負電荷, 減少細胞之間的靜電排斥, 促進細胞與細胞的相互作用, 并通過吸附有機和無機材料形成了交聯網絡, 從而促成顆粒的形成.結果表明(圖 3), 在相同運行時間下, 與R1相比, R2中微生物分泌的PN和PS更多, PN/PS處于較高水平, 多次進水-曝氣策略更利于污泥聚集, 從而提高了顆粒的沉降性能, 促進顆粒污泥的形成.
由于啟動AGS工藝采用了逐漸縮短沉降時間的方式, 會淘洗出部分沉降性能差的污泥, 因此本實驗還研究了實驗期間MLSS和SVI的變化趨勢, 結果如圖 4所示, 接種污泥的SVI值為60.13 mL·g-1, R1和R2中接種的污泥濃度為3 539 mg·L-1和3 624 mg·L-1.由于啟動階段R1和R2的沉降時間是逐漸縮短的, 排出沉降速度慢的污泥, 保留了沉降性能好的污泥.SVI數值能夠反映污泥的沉降性能, SVI值較低代表污泥的沉降性能較好, 因此在啟動階段R1和R2的MLSS和SVI均呈現下降的趨勢.R1和R2中在第19 d和第11 d出現細小顆粒, 這些顆粒會將系統中絮狀污泥黏附在自身表面, 將絮狀污泥持留下來, 對AGS的形成具有重要作用.由于相同運行時間下R2中顆粒粒徑大于R1, 顆粒更致密, 所以R2污泥沉降性能優于R1, 故在第19 d縮短沉降時間時, R1比R2中流失了更多的污泥.此后, MLSS不再下降, 系統內顆粒結構逐漸完整, 粒徑不斷變大, 沉降性能得到改善, SVI值逐漸降低, MLSS開始有所上升.由于R2采用多次進水-曝氣策略運行, 刺激系統內微生物產生了較多的PN, 改善了顆粒的沉降性能, 因此在相同運行時間下, R2的SVI值是低于R1的, 表明相較于一次進水-曝氣策略, 多次進水-曝氣策略運行下形成的顆粒沉降性能更強.

圖 4 R1和R2運行期間MLSS和SVI的變化
2.2 一次/多次進水-曝氣策略對系統污染物處理性能的影響
2.2.1 R1和R2的COD和TP去除性能
圖 5和圖 6分別表示了運行期間R1和R2的進、出水COD、TP濃度及去除率的變化情況.接種初期, R1和R2對COD和TP去除率較低, 出水濃度較高, 經一段時間的適應和馴化, 功能菌對有機物的利用能力得到恢復, 對環境逐漸適應, 出水COD和TP濃度逐漸降低.由于R1和R2分別在第19 d和第11 d出現細小顆粒, 為快速獲得成熟的AGS, 于是第19 d時縮短沉降時間至3 min.R1和R2中含有較多的絮狀污泥, 所以縮短沉降時間后, 排出較多沉降性能不佳的絮狀污泥, 其中可能含有大量富磷污泥, 但是R1和R2排出的富磷污泥中含有較多PAOs, 所以R1和R2的TP去除率出現了先增加后下降的趨勢, 且觀察到R1和R2分別經歷了33 d和17 d出水TP濃度降至0.5 mg·L-1以下, 表明R1中除磷性能恢復的時間比R2長, 一是因為R1比R2排出含有PAO的絮狀污泥多, R1中PAOs富集所需的時間比R2長, 二是因為這一階段R1和R2中污泥粒徑較小, 曝氣時氧氣的傳遞性較好, 單個顆粒內部厭氧區可能很小, 同步硝化反硝化(simultaneous nitrification-denitrification, SND)能力還不完善, 因此R1中好氧硝化形成的NO3--N無法在好氧條件下被反硝化去除掉, 而R2中采用多次進水-曝氣的運行策略, 在周期內可以提供多次厭氧和好氧環境, 實現多次實現硝化反硝化, 降低了NO3--N濃度, 因此推測R1中NO3--N濃度對PAO的抑制程度是大于R2的, 這一階段實驗結果表明, 與一次進水-曝氣的運行策略相比, 多次進水-曝氣策略運行下PAO受到NO3--N的沖擊更小, 除磷性能更好, 可在顆粒化初期實現較低的出水TP濃度.具體聯系污水寶或參見http://www.dongaorq.cn更多相關技術文檔。

圖 5 運行過程中COD濃度變化

圖 6 運行過程中TP濃度變化
R1和R2中AGS啟動后, 與運行初期相比, 顆粒粒徑增大, 顆粒內部的層狀空間結構逐漸完整, 能夠實現SND, 因此R1內后續的好氧環境下硝化形成的NO3--N可通過SND被去除, NO3--N濃度有所降低, 一定程度上減輕了NO3--N對PAOs的抑制程度.除此之外, AGS的層狀空間結構也對PAOs也起到了一定的緩沖保護作用, 因此顆粒化后R1和R2的出水COD和TP濃度能夠穩定保持在50 mg·L-1和0.5 mg·L-1以下, 處理效果穩定, 滿足《城鎮污水處理廠污染物排放標準》(GB 18918-2002)的一級A標準.
2.2.2 R1和R2的脫氮性能
運行期間, R1和R2的TN去除率整體呈現上升趨勢, 且R2的TN去除率大于R1.對比圖 7可知, 出水TN中含有大量NO3--N成分, 反硝化脫去NO3--N的程度對獲得較低的出水TN濃度具有重要意義.啟動階段(0~56 d和0~39 d), R1和R2接種污水處理廠回流污泥, 反應器初期以絮狀污泥為主.R1以一次進水-曝氣的策略運行時, 運行初期絮狀污泥在好氧條件下不能提供反硝化所需的厭氧環境, 因此R1出水中含有大量NO3--N, TN去除率較低; R2以多次進水-曝氣策略運行時, 周期內會進行3組厭氧環境和好氧環境的交替運行, 通過多次硝化和反硝化作用, 有效降低了反應器內NO3--N含量, 所以接種初期R1的出水NO3--N濃度比R2高.第19 d縮短沉降時間, R1比R2中流失了更多的污泥, 這些污泥中含有大量硝化細菌和反硝化細菌, 因此R1和R2的脫氮性能均出現一定程度的下降.大部分硝化細菌屬于自養菌, 世代時間較長, 故R1中脫氮性能恢復時間比R2長.

圖 7 運行期間氮去除效果變化
AGS工藝啟動后(57~105 d和40~105 d), 顆粒粒徑增大, 好氧條件下由于氧氣傳遞受限, 單個顆粒污泥內部具有厭氧區和缺氧區, 具備SND能力.由于DO在AGS內具有一定的傳質深度, 因此與粒徑較小的AGS相比, 粒徑較大的AGS內部缺氧反應區大, 反硝化效率更高, 利于實現SND.由于R2中顆粒污泥的粒徑大于R1, 故R2脫氮效率高于R1, 所以AGS工藝啟動后R1的出水NO3--N濃度比R2中的高, R2出水TN濃度滿足規范要求的時間也比R1提前.AGS工藝穩定運行后, R1和R2中出水TN濃度平均為11.2 mg·L-1和8.9 mg·L-1, 均低于我國《城鎮污水處理廠污染物排放標準》(GB18918-2002)的一級A標準(15 mg·L-1).
2.3 一次/多次進水-曝氣策略對DPAO富集程度的影響
DPAO以NO3--N為電子受體過量吸磷, 在除磷的同時, 達到反硝化脫氮的目的, 可以緩解異養菌對碳源的競爭, 實現“一碳兩用”, 節省了能源[36, 37].由于DPAO在厭氧和缺氧條件下進行生理活動, 筆者推測DPAO是否會在顆粒內部缺氧區富集.文獻[38]認為缺氧吸磷速率與好氧吸磷速率之比代表了DPAO占全部PAOs的比值, 能反映系統中DPAO增殖情況, 因此筆者在運行期間每隔20 d, 通過燒杯實驗的方法, 測得缺氧和好氧條件下磷酸鹽濃度變化, 并計算了缺氧吸磷速率與好氧吸磷速率之比.
如圖 8所示, 種泥中DPAO占全部PAOs的質量分數為11.17%, 經過100 d的運行, R1和R2中DPAO增殖至22.47%和34.08%, 可知兩種方式運行下均能富集DPAO, 且R2中DPAO富集的情況比R1好, 分析原因為R1采用一次進水-曝氣的策略運行時, 周期內前期厭氧段內系統中底物充足, 后期好氧段內基質濃度較低, 硝化細菌將NH4+-N氧化后, 微生物耗氧量下降, 因此在較長的好氧段中DO會大量上升, 氧氣通過AGS表面孔隙進入顆粒內部, 減小了顆粒內部缺氧區和厭氧區體積, 影響了DPAO的生存空間; 而R2采用多次進水-曝氣的運行策略, 周期中不會存在較長時間的連續曝氣, 并且周期內多次提供基質, 與R1相比, R2的運行策略能夠提高微生物活性, 增加對氧氣的消耗量, 對反應器中DO起到一定的控制作用, 確保了好氧條件下顆粒內部缺氧區和厭氧區的分布, 這與Bassin等的研究結果一致, 其發現較低DO濃度可以保證好氧環境中AGS內部的缺氧區和厭氧區體積, 促進了DPAO增殖.與R1相比, R2運行時反應器中DO相對較低, 顆粒內部為DPAO提供適宜的厭氧和缺氧生存環境, 有利于DPAO富集.

圖 8 運行期間DPAO富集程度變化
2.4 穩定運行時典型周期內污染物濃度變化
圖 9所示為R1和R2在第91 d任意一個周期內NH4+-N、NO2--N、NO3--N、TP和COD的濃度變化.R1采用底部厭氧進水的方式向反應器中提供基質, 隨后開始厭氧反應階段, 由于R1內含有充足的碳源, 可進行徹底的反硝化作用, 因此厭氧階段進行55 min后R1中NO3--N濃度為0, 此后R1內PAOs釋磷過程不再受到NO3--N抑制, PAOs能將胞內多聚磷酸鹽(poly-P)分解, 以磷酸鹽的形式釋放在水中, 并將碳源轉化以PHA形式儲存在體內, 以便好氧條件下進行吸磷, 因此觀察到厭氧段TP濃度上升, 好氧段TP濃度下降.生活污水有機物成分復雜, 微生物能快速消耗利用的碳源較少, 所以R1中COD濃度由130.2 mg·L-1降至43.9 mg·L-1, 待反應進入好氧段時, 微生物可以利用的碳源已所剩無幾, NO3--N在DPAO作用下得到部分去除后, 反硝化菌受到碳源限制而不再進行反硝化過程, 系統中NO3--N濃度不斷上升, 至周期末期時NO3--N濃度為11.4 mg·L-1.

圖 9 第91 d R1和R2周期內污染物濃度變化
而R2中出水NO3--N濃度低于R1, 這得益于R2采用的多次進水-曝氣的運行策略:周期初以厭氧進水的方式向微生物提供基質, 在反硝化結束后系統由缺氧環境恢復為厭氧環境, 為PAOs釋磷提供條件, 曝氣后NH4+-N經硝化作用轉化為NO3--N, 經DPAO作用能夠去除部分NO3--N后, 由于反應器內碳源匱乏, 反硝化菌攝取不到碳源, 反硝化作用暫停, 所以觀察到NO3--N濃度上升, 至好氧段末期系統內的NO3--N濃度分別為6.9 mg·L-1和5.8 mg·L-1.好氧段結束后, 再以厭氧進水的方式為反硝化菌脫氮和PAO釋磷提供碳源和適宜的厭氧條件, 隨后再進入厭氧環境, 以此方式向系統內多次提供碳源, 以便對氮素進行反硝化作用, 故R2周期末為7.3 mg·L-1, 通過這種方式良好地處理了系統內TN和TP, 獲得了良好的脫氮除磷效果.
3 結論
(1) 相同運行時間下, R2中PN和PS含量多于R1, PN/PS和污泥粒徑也處于較高水平.R1和R2分別經過56 d和39 d后成功啟動AGS工藝; 運行105 d后, R1和R2內顆粒污泥的平均粒徑達到740 μm和791 μm, R2中顆粒形態更圓潤, 表明多次進水-曝氣策略能促進顆粒污泥的形成, 有利于提高顆粒粒徑.
(2) R1和R2內顆粒污泥成熟后, 對COD、TP和TN具有良好的處理效果, 出水水質均滿足《城鎮污水處理廠污染物排放標準》一級A標準.
(3) 顆粒化過程中, R2中出水NO3--N濃度和出水TP濃度普遍低于R1, 表明與一次進水-曝氣運行相比, 多次進水-曝氣運行下PAO受到NO3--N的沖擊更小, 除磷性能更好.
(4) 運行100 d后, R1和R2中DPAO占全部PAO的比值由最初11.17%分別增至25.47%和34.08%, 表明多次進水-曝氣策略下運行, 顆粒內部更適宜DPAO生存, 有利于DPAO富集. (來源:北京工業大學建筑工程學院 作者:張杰)


