1 引言
近年來, 馴化和富集培養活性污泥微生物進行脫氮除磷是污水處理工藝的研究熱點.隨著分子生物技術的發展, 很多研究者通過實時熒光定量PCR技術對活性污泥細菌的種類和數量進行準確的定性和定量.實時熒光定量PCR準確性的前提是活性污泥中的微生物盡可能的被抽提完全, 模板的質量較好, 純度較高, 定量PCR時抑制效應盡可能降到最低.污水處理的活性污泥樣品成分復雜, 在研究活性污泥主要化學成分時發現, 腐殖酸是除蛋白質之外所占比重最大的高分子化合物;佟娟等(2009)在剩余污泥堿性發酵液中也發現了腐殖酸的存在, 并且研究了采用堿破解方法提取污泥中腐殖酸的方法.腐殖酸廣泛地存在于天然水體和污泥中, 其中, 大量的腐殖酸在DNA抽提時較難去除, 基因組中殘留的腐殖酸會抑制酶的活性, 從而抑制PCR和實時熒光定量PCR, 降低實時熒光定量PCR的準確性, 影響對活性污泥樣品中微生物數量豐度或功能豐度的檢測及對污水處理工藝中微生物所扮演角色的意義的準確解析.
已有的研究表明, 稀釋模板、去除腐殖酸都可以降低腐殖酸對定量PCR的抑制效應.目前主要的腐殖酸去除方法有兩大類, 一類是在基因組抽提前去除土壤中的腐殖酸, 另一類是在基因組抽提后去除基因組中殘留的腐殖酸.活性污泥本質上是人工馴化培養的含有功能微生物的土壤, 腐殖酸的含量較高, 去除活性污泥腐殖酸和梯度稀釋活性污泥基因組模板對定量PCR抑制效應的影響尚未見報道, 模板稀釋到何種程度對于抑制效應有明顯的改善尚不明確.
基于此, 本文通過研究不同方法去除活性污泥腐殖酸的效果, 以及外加內標質粒、梯度稀釋模板后定量PCR抑制效應的變化, 以闡明腐殖酸的去除對活性污泥定量PCR準確性的影響.
2 材料與方法
2.1 實驗材料
取厭氧氨氧化中試反應啟動成功的活性污泥, 置于-80 ℃條件下保存備用.
2.2 腐殖酸的去除
取上述活性污泥, 使用購自于上海生工的土壤腐殖酸清除劑, 按照說明書進行抽提前活性污泥腐殖酸的去除;使用購自于上海生工的柱式腐殖酸清除劑, 按照說明書對抽提后的基因組DNA進行腐殖酸的去除.實驗共4組, 分別為抽提前腐殖酸去除組(前)、抽提后腐殖酸去除組(后)、無腐殖酸去除的對照組(對照)、抽提前后腐殖酸共同處理組(前+后).
2.3 基因組DNA的抽提
在抽提DNA前為了防止活性污泥的異質性帶來的誤差, 準確稱取厭氧氨氧化中試反應啟動成功的1.00 g(濕重)活性污泥和1.00 g(濕重)抽提前去除腐殖酸的活性污泥于帶刻度的10 mL試管中, 用PBS緩沖液(pH=7.4, 濃度為0.20 mol·L-1)定容至10 mL后, 充分混勻成土壤勻液, 混勻后確保試管底部沒有固體顆粒物殘留.吸取5 mL勻液于5 mL的離心管中(合0.5 g鮮土), 4 ℃、12000 r·min-1離心2 min, 倒掉上清液.離心管中的活性污泥再用PBS洗滌2次后, 用美國MP公司生產的DNA提取試劑盒(FastDNA Spin kit for soil, MP-116560)對活性污泥進行基因組的提取.
2.4 DNA酶消化基因組DNA
取50 μL上述4組抽提的基因組DNA, 分別加入DNA酶Ⅰ5 μL、10×Buffer 5 μL(普洛麥格公司), 37 ℃水浴30 min后,加終止液5 μL, 65 ℃水浴10 min, 即得到4組不含DNA的腐殖酸雜質.分別為DNA酶Ⅰ消化抽提前腐殖酸去除組(前+酶)、DNA酶Ⅰ消化抽提后腐殖酸去除組(后+酶)、DNA酶Ⅰ消化無腐殖酸去除的對照組(對照+酶)、DNA酶Ⅰ消化抽提前后腐殖酸共同處理組(前+后+酶).
2.5 DNA濃度的測定及PCR反應
利用核酸蛋白測定儀NanoDrop2000檢測基因組的A260/230、A260/280和濃度.采用2%的瓊脂糖凝膠, 95 V電泳35 min, 檢測基因組抽提的完整性及質量.以上述8種處理后的基因組為模板進行PCR反應, 引物序列見表 1.0.2 mL PCR管中配置20 μL體系如下:0.2 μL TaKaRa Taq (5 U·mL-1)、2 μL 10×PCR Buffer (Mg2+ Plus)、2 μL dNTP Mixture (各2.5 mmol·L-1)、2 μL模板(10 ng·μL-1)、上、下游引物各1 μL(1 nmol·L-1)、滅菌蒸餾水加至20 μL.將上述反應液離心、混勻、再離心, 在PCR儀中進行以下循環:95 ℃預變性5 min;98 ℃變性10 s, 63 ℃退火30 s, 72 ℃延伸5 s, 30個循環;72 ℃延伸5 min;反應體系溫度最后降至4 ℃, 1.5%瓊脂糖凝膠電泳分析.
2.6 質粒標準品的制備
按照TaKaRa MiniBEST Agarose Gel DNA Extraction Kit Ver.4.0的操作說明對PCR產物進行膠回收(總細菌V3~V4區產物長度190 bp).回收的PCR產物根據天根pGM-T克隆試劑盒的說明進行連接、轉化、涂平板、挑取陽性單克隆菌落、搖菌、抽質粒(質粒快速提取試劑盒, 天根生化科技有限公司), 送上海生工生物公司進行測序鑒定, 最終得到總細菌V3~V4區的質粒標準品.用核酸蛋白測定儀測定質粒標準品的A260/230、A260/280和濃度.根據公式(1)計算質粒標準品的起始拷貝數G(copies·μL-1).
式中, M為拷貝DNA分子的堿基對數(bp·copy-1);W為1個堿基對的分子質量(660 u·bp-1);CDNA為DNA濃度(ng·μL-1).
2.7 標準曲線的建立及總細菌16S rDNA V3~V4區的定量檢測
10倍梯度稀釋10 ng·μL-1的總細菌質粒成5個濃度, 作為絕對定量PCR的模板, 建立總細菌的標準曲線.以10 ng·μL-1的4個處理組DNA及DNA酶Ⅰ消化的4個基因組DNA為模板, 進行定量PCR.根據標準曲線計算各組總細菌16S rDNA的絕對拷貝數.將濃度為10 ng·μL-1的質粒標準品作為內標質粒與2.4節中的前+酶組、對照+酶組混合后, 用滅菌的超純水將上述混合液10倍梯度稀釋成5個濃度, 作為絕對定量PCR的模板, 進行定量PCR.將10 ng·μL-1的2.2節中的前組和對照組DNA10倍梯度稀釋成5個濃度, 作為絕對定量PCR的模板, 進行定量PCR.反應體系為20 μL, 反應組分為:Mix 12.5 μL, 上、下游引物各0.58 μL(1 nmol·L-1), 模板2 μL, 滅菌三蒸水9.5 μL.反應條件同常規PCR, 總延伸結束后, 加入熔解曲線的制備(95 ℃保持15 s, 60 ℃保持1 min, 95 ℃保持15 s)步驟.
2.8 絕對拷貝數及抑制效應的計算
Ct值為每個反應管內的熒光信號到達設定的域值時所經歷的循環數.將實時熒光定量PCR所得的Ct值作為標準曲線關系式中的Y值, 得到X值, 10X即為各組模板的絕對拷貝數, 單位為copies·g-1.腐殖酸的抑制效率I=(P-T)/P×100%, 其中, P為加入的總細菌內標質粒拷貝數(copies·g-1), T為內標質粒與腐殖酸混合組的總細菌拷貝數(copies·g-1).
2.9 數據分析
所有的數據都來自于3個獨立重復試驗的平均值±標準差, 使用Dunnett′s檢驗比較各個處理組與對照組的差異, 在0.05的水平上進行數據顯著性差異分析.
3 結果(Results) 3.1 基因組DNA的濃度及質量
為了研究不同腐殖酸去除方法對活性污泥基因組抽提質量的影響, 表 2調查了不同去除方法和DNA酶Ⅰ消化后的模板濃度和質量, 抽提前腐殖酸去除組的A260/230值(1.34)、A260/280值(1.80)較對照組高, 與其它各組相比, 更接近于高質量基因組的標準.這可能與抽提后的去除法引入了一些殘留的有機溶劑, 而抽提前的去除法引入的有機溶劑通過DNA提取過程得以消除有關.表 2中抽提前腐殖酸去除組的DNA濃度(162.46 ng·μL-1)高于其它各組.以上結果表明, 抽提前腐殖酸去除的方法既保證了DNA的得率又提高了模板質量.
對8種處理后的模板進行瓊脂糖凝膠電泳, 由圖 1可知, 未用DNA酶Ⅰ消化后的各組都有基因組主帶, 明亮單一, 可以作為實時熒光定量PCR的模板;用DNA酶Ⅰ消化后的各組基因組被降解, 沒有條帶, 說明剩余雜質的主要成分為腐殖酸.
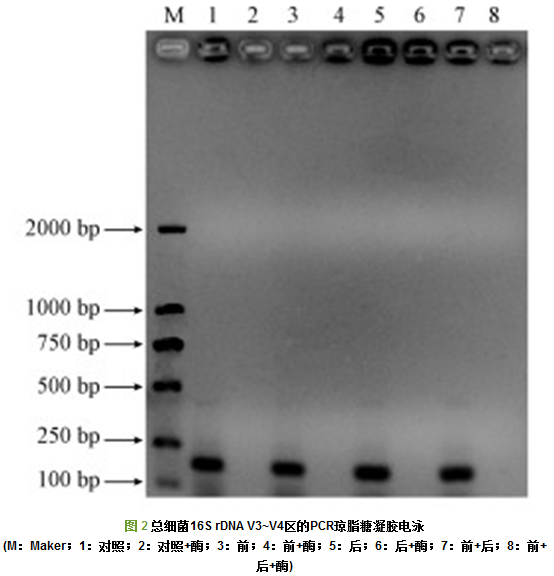
3.2 總細菌16S rDNA V3~V4區PCR瓊脂糖凝膠電泳
為了驗證DNA酶處理后的基因組能否作為模板進行總細菌V3~V4區的PCR擴增, 以總細菌V3~V4區的引物進行PCR, 瓊脂糖電泳結果如圖 2所示.由圖 2可知, 未經DNA酶Ⅰ處理的組1、3、5、7在190 bp處擴增出目的條帶, 經過DNA酶Ⅰ處理的組2、4、6、8沒有擴增出目的條帶.與此同時, 以DNA酶Ⅰ消化過的4個組為模板, 進行實時熒光定量PCR, 所得的Ct值與陰性對照基本相同, 說明DNA酶Ⅰ已將各活性污泥基因組模板消化完全.
3.3 活性污泥總細菌的絕對拷貝數
為了探究腐殖酸的去除是否影響活性污泥實時熒光定量PCR, 分別以10 ng·μL-1的抽提前腐殖酸去除組、抽提后腐殖酸去除組、抽提前后腐殖酸同時去除組、對照的基因組為模板, 進行實時熒光定量PCR, 結果見圖 3.圖 3中, 抽提前腐殖酸去除組的拷貝數(3.71×109 copies·g-1)最高, 抽提后腐殖酸去除組的拷貝數(3.64×109 copies·g-1)和抽提前后腐殖酸共同去除組的拷貝數(3.62×109 copies·g-1)次之, 對照組的拷貝數(2.68×109 copies·g-1)顯著低于前3組(p < 0.05), 說明抽提前去除腐殖酸的擴增效率最高, 抑制效應最低.這與表 2的結果一致, 說明抽提前去除活性污泥腐殖酸的方法更為可取.
3.4 梯度稀釋后活性污泥總細菌定量PCR的Ct值
為了深入研究抽提前活性污泥腐殖酸的去除及模板濃度對定量PCR擴增的影響, 以雜質腐殖酸10倍梯度稀釋已知濃度的總細菌內標質粒, 定量的Ct值如圖 4a所示.由圖 4a可知, 隨著目的基因拷貝數(GA)對數值的降低, 抽提前去除過腐殖酸的內標質粒組Ct值逐漸低于對照組, 梯度稀釋模板1~100倍的Ct值差值增加, 梯度稀釋模板100~10000倍的Ct值基本無變化, 說明梯度稀釋去除腐殖酸的活性污泥基因組模板100倍以上(含100倍), 可提高定量PCR的擴增效率, 降低腐殖酸對活性污泥定量PCR的抑制效應.
為了研究梯度稀釋抽提前去除腐殖酸的活性污泥總細菌定量PCR結果是否與上述結果一致, 以10倍梯度稀釋抽提前去除腐殖酸的基因組為模板, 進行定量PCR(圖 4b).圖 4b中抽提前腐殖酸去除組1~1000倍梯度稀釋模板的Ct值稍低于對照組;10000倍梯度稀釋模板的Ct值較對照組有明顯的降低.圖 4說明, 去除腐殖酸與一定濃度的稀釋模板都能降低腐殖酸對活性污泥總細菌定量PCR的抑制, 模板稀釋雖然降低了腐殖酸的抑制效應, 但Ct值可能會超出可信的范圍, 直接去除活性污泥腐殖酸比稀釋活性污泥基因組模板更實用.
3.5 腐殖酸去除后的抑制效應
為了進一步研究活性污泥腐殖酸的去除及活性污泥基因組模板濃度的變化對抑制效應的影響, 表 3對腐殖酸去除后的抑制效應進行了調查.表 3結果顯示, 抽提前腐殖酸去除組和對照組的雜質中加入的內標質粒濃度為1.53×105 copies·g-1, 抽提前腐殖酸去除的雜質組抑制效應為6.16%,顯著低于對照雜質組的72.68%(p < 0.05), 說明抽提前去除腐殖酸降低了抑制效應, 顯著提高了活性污泥定量PCR的準確性.
4 討論
4.1 不同階段活性污泥的腐殖酸含量
反應器不同運行階段, 其含水率、pH、溶解氧、反應速率和效能不同, 活性污泥樣品引入的干擾可能不同, 特別是通過影響酶活性來影響定量PCR擴增效率的雜質腐殖酸)發現, 湖泊沉積物中的內參基因受到腐殖酸的抑制明顯.厭氧氨氧化活性污泥樣品提取的DNA顏色有點發黃, 與圖 3、圖 4和表 3的結果一起說明活性污泥中存在腐殖酸.通常情況下, 通過DNA提取過程中的純化步驟來減弱腐殖酸對PCR反應的抑制效應.本研究通過基因組抽提前腐殖酸去除試劑盒和梯度稀釋模板100倍降低定量PCR的抑制效率, 顯著提高了定量PCR的準確性.
4.2 影響活性污泥定量準確性的因素
活性污泥的含水率和雜質不同, 可能會導致基因組抽提時DNA得率的差異較大, 影響定量PCR檢測的準確性.本研究通過抽提前3次PBS的重復清洗及3組重復抽提混合后使用, 減少樣本的異質性和抽提隨機性的誤差, 提高定量結果的準確率.在定量PCR之前, 通過提高DNA得率的方法可以間接提高目標基因絕對定量的準確性, 然而得率的提高往往意味著DNA條帶斷裂的增加及樣品純度的降低.本研究通過基因組瓊脂糖電泳圖證明DNA抽提的完整性較好(圖 1), 在腐殖酸有效去除的同時, 保證了較高的基因組得率162.46 ng·μL-1(表 2).此外, 當腐殖酸無法有效去除時, 也可通過在基因組抽提前加入特異性基因作為內參加標物計算腐殖酸的抑制效應,來評估定量PCR結果以實現準確定量.
4.3 抽提前去除腐殖酸的意義
活性污泥中的細菌緊緊地粘附在泥樣上, 反應器進水和出水時, 細菌隨泥樣一起停留在反應器中得以擴大培養.這種污泥微生物聚集體可能會導致細菌裂解不完全, 抽提的基因組低于污泥中的總細菌含量.降低細菌與污泥之間的粘附力, 使其在抽提時較好的分離, 對定量PCR準確性的提高意義重大.腐殖酸對系統內菌群種類、數量及系統的運行效能有較大影響, 可以促進污泥良好結構體的形成, 影響污泥表面性質, 抽提前去除活性污泥中的腐殖酸可能對細菌與污泥的分離具有積極意義.抽提前去除也減少了抽提過程中或抽提后的純化對DNA完整性的破壞.本研究中的圖 1和表 2顯示, 抽提前去除較抽提后去除腐殖酸, DNA的得率和質量更好.此外, 稀釋基因組模板100倍以上, 基因組中腐殖酸的濃度得到了稀釋, 對定量PCR的抑制效應降低, 但活性污泥抽提的基因組濃度有限, 較大倍比地稀釋基因組, 定量PCR的Ct值可能會超出可信的范圍, 降低定量PCR的可信度.圖 4表明, 基因組抽提前去除活性污泥中的腐殖酸較稀釋模板更能有效地降低腐殖酸對定量的抑制效應, 提高定量PCR的準確性.
5 結論
1) 基因組抽提前通過反復洗脫的方式對活性污泥中的腐殖酸進行去除, 基因組的得率(162.46 ng·μg-1)最多, A260/230值為1.34, A260/280值為1.80, 腐殖酸的殘留最少, 基因組質量最高.
2) 腐殖酸對定量PCR的擴增具有抑制效應, 隨著濃度的降低抑制效應先降低后保持不變.具體聯系污水寶或參見http://www.dongaorq.cn更多相關技術文檔。
3) 使用基因組抽提前腐殖酸去除試劑盒去除活性污泥腐殖酸, 稀釋模板100倍(0.1 ng·μg-1), 定量PCR的抑制效率由72.68%降低到6.16%(p < 0.05), 顯著提高了定量PCR的準確性.









